你知道吗?我们身体里的肾脏可重要了!
每天,要过滤约150升血液,相当于300瓶矿泉水!


这个"超级滤芯",不仅能排出毒素、调节血压,还负责维持电解质平衡。一旦肾脏罢工引发尿毒症,体内毒素会像"堵车"的垃圾车一样堆积,引发全身器官衰竭。此时,肾移植便成为重启生命的关键选择。
【肾移植小知识】
关于肾移植的五个真相
1. 不是换肾而是加肾:90%的移植肾会被放置在右髂窝(下腹部),原有肾脏通常保留;
2. 手术门槛高:需通过"三关考验"——年龄≤65岁、无活动感染、心肝肺功能达标;
3. 配型如配对:血型需相容,HLA(人类白细胞)抗原匹配度越高,排异风险越低;
4. 终身防排异:身体可能排斥新肾,需密切监测排尿、血压等指标,术后需每天服用抗排异药;
5. 存活率惊人:1年存活率达95%,10年存活率约60%。(数据来源:中国肾移植科学登记系统)

【超声】
肾移植的"全天守护保镖"
全程无创、实时监测,三阶段保驾护航
术前:侦察兵,给移植路线"探路"
1) 探查髂血管,测量血管内径,观察是否畅通;
2) 评估供肾质量,微循环情况,并排除肾囊肿/结石/肿瘤等病变;
术中:导航仪,实时监测为手术保驾护航
1) 实时查看血管吻合情况,确保新肾"通电"后动、静脉血流是否畅通;
2) 监测肾门处血流频谱及时干预血栓的形成,减少术后血管并发症的发生率;
3) 观察肾皮质的血流灌注情况,评估肾移植的成功率。
术后:监护仪,做好新肾的"健康管家"
1) 术后24小时全天监测新肾大小和血流,预警血栓,积水等并发症;
2) 术后7日追踪,每天监测集尿系统,发现积水立即置管;
3) 长期跟踪随访,评估肾脏状态,是否存在慢性排异或药物毒性;
【术后并发症】
看不见的危机


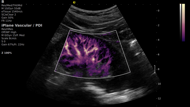
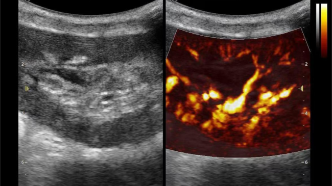
在肾移植领域,医生最怕的不是手术刀下的惊心动魄,而是那些手术后肉眼看不见的危机——急性排斥反应导致的血小板聚集形成的微血栓、毛细血管网损伤等...这些“隐形杀手”曾让无数移植肾在悄无声息中衰竭。而逸超医疗(ESI)的iPlane Vascular平面波超微细血流显像技术,正是为破解这一难题而生。
【黑科技登场】
开启移植肾的"微观视界"
这项革命性技术通过三大创新实现质的飞跃:
1) 基于OmniSound®平面波超快速平台,超声信号采集帧频提高了200倍(25000Hz)。
2) 可检测20-50μm级细小血管低速血流信号,能看清头发丝1/2粗细的微血管;
3) 通过血管指数(VI)定量评估局部血管密度,以定量化数据实时监测血流灌注情况,预判肾功能恢复情况;

超微视血流显像显示肾脏五级血管

微米级超高分辨率血流信号显像

肾脏的灌注评估,RI/VI量化数据



超微视血流显像评估肾移植术后灌注情况
这一项无创、无辐射操作简便且无需造影剂的黑科技,相当于用"高速摄像机"记录血液细胞的运动轨迹,让血管并发症"无处遁形。
【结语】
从术前评估到术中到术后,再到终身监护,当20-50μm级的超微血流信号在屏幕上跳动,我们看到的不仅是技术的精进,更是生命的律动。iPlane Vascular正在重新定义肾移植监护的标准——让医生拥有了"显微视力",让每一个微小血管的异常都无所遁形,让每一次免疫排斥的萌芽都被及时扼制。
用微观世界的突破,守护宏观人生-生的希望--这或许就是逸超医疗科技对生命最深的敬意。
☎:400-0628060 ✉:esonic@esonicimage.com
COPYRIGHT© 逸超影像 京ICP备2022002181号-1
药品医疗器械互联网信息服务备案:(京)网药械信息备字(2025)第 00057 号